3DONCOCHIP
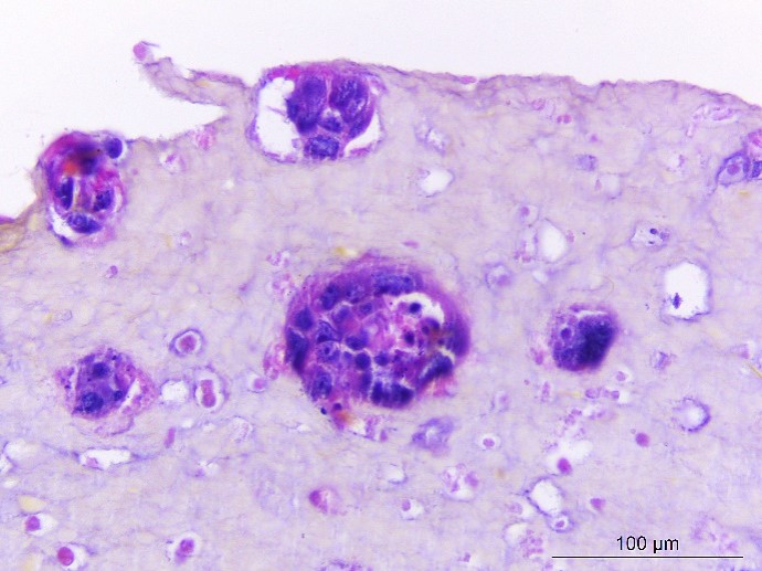
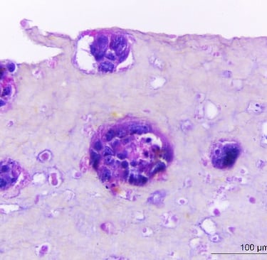
In a @ 2.2 Million Euros project CTIBIOTECH was funded together with the SME MICROLIGHT making photon-driven microprinting and the University of Grenoble CNRS materials chemistry expertise to create a micro-tumor model which could be used to mimic how tumors look inside humans and then to use them to screen new therapeutic chemotherapies. SIGNIFICANCE: many tumors hide from the immune system and chemotherapy does not always reach them. So, we need to model this in the laboratory so that we can make advanced treatments for patients.
INNOVATION
CTI
3/11/20251 min read


3D printed pancreatic cancer tumors




3DONCOCHIP partners and funders.
MICROLIGHT microprinting technology

Get In Touch
Address
CTIBIOTECH
Bat A16, 5 avenue Lionel Terray
69330 Meyzieu
Lyon, France
